Auteur : Xavier Langon – Juillet 2013
Clinique vétérinaire de Camargue
34400 Lunel
Motif de consultation
Un Yorkshire Terrier est consulté pour une alopécie faciale apruritique sans atteinte de l’état général.
Commémoratifs et anamnèse
Un chien mâle Yorkshire Terrier de 4,7 kg, âgé de 10 ans, est présenté à la consultation pour alopécie faciale progressive et apruritique depuis 2 ans (photo 1). L’animal vit en villa dans le sud de la France, sans congénère. Il est nourrit avec une alimentation industrielle de grande surface. Il est correctement vacciné, et traité contre les parasites internes et externes. Son passé pathologique est vierge, à l’exception d’une alopécie tronculaire un an auparavant, attribuée par le confrère référant à une modification de son régime alimentaire. Son propriétaire ne rapporte aucune lésion le concernant.
Photo 1 : Examen à distance du chien
Examen clinique
Le chien présente un bon état général et est normotherme. La topographie lésionnelle dermatologique est limitée à la face externe des pavillons auriculaires et le bord dorsal du chanfrein. Ces sites présentent une alopécie ainsi qu’une hyperpigmentation (photos 2 et 3). La jonction cutanéo-muqueuse dorsale de la truffe présente un aspect squamo-crouteux.
Photo 2 : Vue rapproché des oreilles. Noter l’aspect «oreilles de cuir»
Photo 3 : Vue rapprochée du chanfrein. Noter l’alopécie pigmentaire.
Hypothèses diagnostiques
La symptomatologie (mélanodermie et alopécie) nous amènent à envisager «à priori» l’hypothèse la plus probable en dépit de l’âge tardif d’apparition: le pattern baldness… Mais en toute rigueur, nous ne devons pas écarter quelques autres hypothèses :
Hypothèse 1 : la génodermatose: l’alopécie en patron,
exemple photo 4
Hypothèse 2 : une endocrinopathie (hypothyroïdie, Cushing…),
exemple photo 5
Hypothèse 3 : une alopécie X,
exemple photo 6
Hypothèse 4 : une maladie auto-immune (pemphigus érythémateux cutané canin),
exemple photo 7
Hypothèse 5 : une dermatophytie,
exemple photo 8
Examens complémentaires
L’hypothèse fongique est invalidée par la trichoscopie, examen en lumière de Wood et la culture fongique.
Les calques cutanés et tests à la bande adhésive ne mettent pas en évidence d’anomalie cellulaire ni élément figuré.
Les dosages de T4 et TSH sont dans la fourchette des valeurs usuelles, permettant d’abandonner l’hypothèse thyroïdienne.
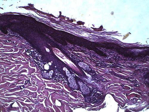
L’examen histopathologique de biopsies cutanées révèle une hyperkératose orthokératosique de la surface épidermique et des follicules pileux, ainsi qu’une mélanose dermique (photo 9).
Photo 9 : Observation microscopique (x400) d’une biopsie cutanée:
noter l’hyperkératose orthokératosique et la mélanose.
Diagnostic
Alopécie en patron: la mélanodermie et alopécie du Yorkshire Terrier











