Un cas d’adénite sébacée granulomateuse chez un caniche royal


Auteur : Catherine Laffort-Dassot
Dip ECVD, CES Derm, DESV Derm
c.laffort@veterinaire-alliance.fr


Great Black est un caniche royal noir mâle de six ans qui nous est présenté pour l’évaluation d’un état kératoséborrhéique prurigineux accompagné d’une très forte odeur.

Commémoratifs

Ce chien a été acheté à l’âge de trois mois chez des particuliers dans la région parisienne et vit depuis avec un autre chien dans une maison avec un jardin , à Bourges. Son alimentation est de type ménager à base de poulet, pâtes et légumes. Il a présenté plus jeune des problèmes de croissance et est suivi régulièrement à l’occasion des vaccins.

Anamnèse

Les premières lésions sont apparues il y a un an. Le chien présentait un prurit généralisé accompagné d’un effluvium et d’une otite bilatérale. Le propriétaire a noté d’emblée une odeur très forte. Depuis les lésions s’aggravent progressivement avec l’apparition de croûtes, de squames et de lichénification.

Aucune contamination humaine et/ou animale n’est notée. Le propriétaire rapporte cependant que la mère et la soeur de ce chien présentent des problèmes cutanés similaires avec prurit et état kératoséborrhéique, alors que les animaux ne sont plus en contact depuis l’achat du chiot à l’âge de trois mois.

Un shampooing à base d’huile de vison a amené dans les premiers temps une certaine amélioration. Un diagnostic d’hypothyroïdie ayant été posé il y a six mois, un traitement à base d’hormones thyroïdiennes (Lévothyrox ND ) à la posologie de 20 µg/kg/j a été prescrit pendant trois mois sans aucune amélioration.

Examen clinique

Examen clinique général

L’animal est en bon état général et présente une conjonctivite muco-purulente.

Examen dermatologique à distance

L’examen clinique est dominé par une dermatose alopéciante et squameuse qui concerne essentiellement la face, la face ventrale du cou, le tronc et en particulier le dos, les membres et la zone périanale. (Photos 1, 2, 3, 4)

L’odeur de graisse rance est nette.

cas-dadenite-sebacee-granulomateuse-chez-un-caniche-royal1

Photo 1

cas-dadenite-sebacee-granulomateuse-chez-un-caniche-royal2

Photo 2

cas-dadenite-sebacee-granulomateuse-chez-un-caniche-royal3

Photo 3

cas-dadenite-sebacee-granulomateuse-chez-un-caniche-royal4

Photo 4

Examen dermatologique rapproché

Le poil est sec et rêche au toucher.

La principale lésion est la présence de très nombreux manchons pilaires dans les zones atteintes.(Photo 5). En zone saine leur nombre est beaucoup plus réduit mais ils sont quand même présents ça et là.

On peut aussi observer, notamment en zone dorsale, de rares pustules folliculaires.

Alopécie, croûtes, lichénification et squames complètent le tableau clinique.

L’animal présente de plus une otite bilatérale érythémato-cérumineuse.

cas-dadenite-sebacee-granulomateuse-chez-un-caniche-royal5

Photo 5

Synthèse clinique

Nous sommes en présence d’un état kératoséborrhéique ancien, extensif et généralisé, prurigineux, caractérisé par la présence de pustules folliculaires, de manchons pilaires, associé à une otite bilatérale érythémato-cérumineuse.

Hypothèses diagnostiques

Les hypothèses diagnostiques suivantes ont été envisagées : démodécie, dermatophytie, folliculite bactérienne, dermatite à Malassezia, adénite sébacée granulomateuse, dermatose améliorée par la vitamine A, dysendocrinie (en particulier hypothyroïdie).

Examens complémentaires

De multiples raclages cutanés profonds, l’examen en lumière de Wood, l’examen direct de poils au microscope ne mettent pas en évidence de parasites.

L’examen cytologique de pustules intactes montre des images d’invasion bactérienne: nombreux polynucléaires dégénérés et multiples images de phagocytose de bactéries.

L’examen cytologique de calques cutanés réalisés à partir du cérumen prélevé par un écouvillon auriculaire met en évidence la présence de nombreuses levures du genre Malassezia. Par contre ceux réalisés par impression sur la peau ne permettent pas de visualiser ce champignon.

La culture fongique est négative.

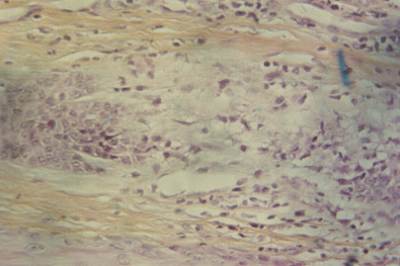
L’examen histopathologique des biopsies cutanées montre: (Photos 6,7)

  • Une hyperkératose orthokératosique épidermique et folliculaire très importante.
  • Un épiderme acanthosique avec quelques crêtes.
  • Des annexes épidermiques proches de la normale, à l’exception sur l’ensemble des prélèvements, de l’absence totale de glandes sébacées.
  • La présence, par endroit, d’un infiltrat periannexiel lymphoplasmocytaire.
  • La présence sur une section d’un granulome contenant des débris de kératine à la base d’un follicule pileux.

cas-dadenite-sebacee-granulomateuse-chez-un-caniche-royal6

Photo 6

cas-dadenite-sebacee-granulomateuse-chez-un-caniche-royal7

Photo 7

Diagnostic

Un premier diagnostic de folliculite/furonculose bactérienne associée à une otite à Malassezia est posé, sans que l’évolution parallèle d’une adénite sébacée granulomateuse ait pu être écartée ou confirmée définitivement.

SI VOUS ETES VETERINAIRE : Pour lire la suite de cet article, veuillez vous enregistrer en haut à droite. Merci
Retour en haut