Un Bouledogue français, mâle âgé de 18 mois, est présenté en consultation pour « pyodermite rebelle aux traitements ». Le chien vit en compagnie d’une femelle de la même race qui n’a pas (encore…) de problème cutané. Il est alimenté avec des croquettes hypoallergéniques et est régulièrement traité contre les puces par l’administration orale mensuelle d’un isoxazolide.
Emmanuel Bensignor
Paris, Rennes, Nantes
Les lésions sont apparues 4 mois plus tôt. La dermatose n’a jamais été prurigineuse. Initialement la propriétaire rapporte des chutes de poils « en touffes » disséminées sur la ligne du dos, puis une extension sur les flancs. Un diagnostic de pyodermite bactérienne a été fait par le vétérinaire traitant et le chien a reçu plusieurs antibiothérapies à base d’amoxycilline-acide clavulanique ou de céfalexine pendant plusieurs semaines, en association avec des shampooings à la chlorhexidine sans amélioration nette, avant qu’il ne nous soit présenté.
A l’examen clinique le chien est en bon état général. Les lésions cutanées sont localisées sur le dos, les flancs, les faces latérales du thorax. Il s’agit de zones multifocales d’alopécie, avec squamosis et rares manchons pilaires. Aucun stigmate de dermatite atopique n’est observée : pas de pododermatite, pas d’otite, pas de cheilite, pas de blépharite. Le prurit est absent (côté à 1/10 en échelle VLAS).
Face à cette présentation lésionnelle, le diagnostic différentiel inclut principalement les causes de folliculite qui, chez les chiens à poils courts, se manifeste volontiers sous la forme d’un pelage « mité », les lésions pustuleuses folliculaires étant fugaces. Dans ce contexte la démodécie, les dermatophytoses et les pyodermites bactériennes représentent la majorité des hypothèses diagnostiques à envisager. Toutefois ici la démodécie est peu probable (traitement régulier oral avec un acaricide), il en est de même pour la teigne (absence de contagion) et une pyodermite bactérienne « banale » ne s’expliquerait que par la présence d’une bactérie résistante. Il est dès lors logique d’envisager également d’autres causes possibles : l’adénite sébacée granulomateuse du chien à poils courts, voire un lupus érythémateux exfoliatif ou un pemphigus foliacé ou encore une leishmaniose…
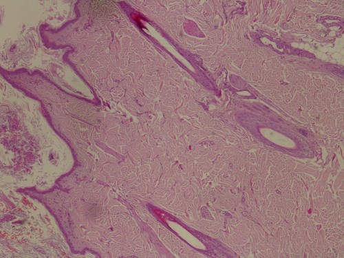
Une sérologie leishmaniose est négative en immunofluorescence indirecte. Des raclages ne montrent pas de parasite. Des biopsies cutanées sont réalisées pour examen histopathologique et également bactériologique. La bactériologie reviendra stérile. L’examen histopathologique montre par endroits un infiltrat inflammatoire centré sur des reliquats de glandes sébacées et à d’autres endroits une absence totale de glandes sébacées. Un diagnostic d’adénite sébacée est proposé. Le chien reçoit un traitement topique sous la forme d’un shampooing deux fois par semaine, et de frictions avec un réhydratant tous les autres jours, et par voie systémique la ciclosporine est utilisée à la dose de 5 mg/kg/j. Une très nette amélioration est rapportée après trois mois. Les prises de ciclosporine sont progressivement espacées et les traitements locaux sont poursuivis « à la demande ».
Commentaires
L’adénite sébacée granulomateuse (ASG) est une dermatose rare mais pourtant régulièrement rencontrée en clinique canine. Il s’agit d’une maladie inflammatoire de la glande sébacée, due à la destruction progressive des glandes sébacées par des cellules inflammatoires (macrophages principalement). Il n’y a pas de prédisposition de sexe, le plus souvent la maladie apparaît chez des chiens adultes jeunes. Différentes races sont à risque : notamment l’Akita Inu, mais également le caniche royal, le samoyède, le Bichon havanais ou le vizla. Toutefois de nombreuses races peuvent être touchées : nous avons eu l’occasion de faire le diagnostic chez des Bouvier bernois, des Labradors, des Golden retrievers, des Berger belge (parmi d’autres races), et ici première description chez un Bouledogue français. Chez l’Akita et le Caniche, un caractère héréditaire est fortement suspecté du fait d’une transmission autosomale récessive. Toutefois le(s) gène(s) en cause ne sont pas connus et il n’existe pas de test de dépistage génétique.
A l’heure actuelle, la pathogénie reste encore largement mal comprise. Diverses hypothèses ont été avancées dans la littérature : origine auto-immune, origine génétique, trouble primaire de la kératinisation voire même anomalie du métabolisme lipidique cutané.
Il semble que l’aspect clinique varie en fonction du type de pelage : état kératoséborrhéique avec hypotrichose et manchons pilaires chez les chiens à poils longs, zones multifocales d’alopécie avec squamosis chez les chiens à poils courts, piège diagnostique potentiel comme dans le cas rapporté ici.
Le diagnostic passe par la biopsie cutanée, mais il faudra toujours prendre soin d’éliminer la possibilité d’une leishmaniose en présence d’un infiltrat granulomateux périfolliculaire (par sérologie voire par PCR sur biopsies).


