Un cas d’adénite sébacée granulomateuse chez un Coton de Tuléar

Rooky est un chien mâle de race Coton de Tuléar, âgé de 8 ans suivi pour des pyodermites prurigineuses et croûteuses récidivantes depuis plusieurs années (3 ou 4 ans) par son vétérinaire traitant, qui rétrocèdent partiellement après des traitements antibiotiques. Roocky vit avec une collerette depuis 1 an pour ne pas aggraver les croûtes qui sont présentes…

 

Estelle BUENDIA-DURBEC

Résidente du Collège Européen de Dermatologie Vétérinaire

CES de Dermatologie Vétérinaire

Consultante en Dermatologie Vétérinaire (Dermvetmouv’, 69)

 Un cas d'adénite sébacée granulomateuse chez un Coton de Tuléar

Commémoratifs et anamnèse

Rooky est un chien mâle de race Coton de Tuléar, âgé de 8 ans.

Roocky est suivi pour des pyodermites prurigineuses et croûteuses récidivantes depuis plusieurs années (3 ou 4 ans) par son vétérinaire traitant, qui rétrocèdent partiellement après des traitements antibiotiques. Roocky vit avec une collerette depuis 1 an pour ne pas aggraver les croûtes qui sont présentes.

Roocky a été adopté à 3 mois chez un particulier. Il vit en maison sans autre animal de compagnie. Il mange des croquettes « bio ». Il est à jour de ses vaccinations, et reçoit un traitement antiparasitaire interne 2 fois par an, et un antiparasitaire externe à base de fipronil en spot-on (Frontline®) tous les 2 mois.

Rooky a déjà voyagé avec ses propriétaires en zone endémique où sévit la leishmaniose (Camargue), sans avoir reçu de protection spécifique contre les phlébotomes, à l’occasion de courts séjours.

 

EXAMEN CLINIQUE GENERAL

L’examen clinique général ne révèle aucune anomalie, il pèse 6.2 Kg, sa température rectale est de 38.1°C et aucune adénomégalie n’est mise en évidence.

 

EXAMEN CLINIQUE DERMATOLOGIQUE

Examen à distance

L’examen à distance permet de remarquer un pelage terne. Le Bichon Maltais étant normalement une race à poil long et dense, on note également une perte importante de longueur, alors que sa propriétaire ne l’emmène pas au toilettage, et de densité du pelage, notamment sur les flancs où l’on observe des zones d’hypotrichose (photo 1 et 2). Ces zones d’hypotrichose intéressent toute la face dorsale du tronc, du cou et les racines des membres.  La queue présente une alopécie en « queue de rat » (photo 3).

 

Un cas d'adénite sébacée granulomateuse chez un Coton de Tuléar

Photo 1 : Vue à distance du flanc droit. On remarque que le poil n’est pas très long et que des zones d’hypotrichose sont présentes (cercle noir).

 

Un cas d'adénite sébacée granulomateuse chez un Coton de Tuléar

Photo 2 : Vue à distance du flanc gauche. On remarque que le poil n’est pas très long et que des zones d’hypotrichose sont présentes (cercle noir).

 

Un cas d'adénite sébacée granulomateuse chez un Coton de Tuléar

Photo 3 : Vue de la queue. Les poils se raréfient formant une queue de rat.

 

Les lésions sont très squamo-croûteuses, adhérentes à la peau et concernent l’ensemble de la face dorsale, de la base du crâne au bout de la queue, avec la racine des 4 membres, sans atteindre la face ventrale, ni les extrémités des membres et ni la face. La limite se situe au tiers dorsal des flancs. La distribution des lésions est schématisée sur la figure 1.

 

Un cas d'adénite sébacée granulomateuse chez un Coton de Tuléar

Erythème, hypotrichose, squamo-croûtes et manchons pilaires

Figure 1 : Distribution des lésions. Seule la face dorsale du corps est atteinte.

 

Examen dermatologique rapproché

L’examen clinique rapproché nous permet de visualiser des lésions très homogènes sur les zones concernées. Les poils sont agglutinés par leurs racines par de denses des manchons pilaires et des squamo-croûtes psoriasiformes très adhérentes à la peau sur l’ensemble zones lésées. L’état kérato-séborrhéique est sévère. On observe également un érythème assez marqué.

Au cours de l’examen, le prurit est facilement mis en évidence et est évalué par la propriétaire à 7-8/10 malgré le port de la collerette.

 

Un cas d'adénite sébacée granulomateuse chez un Coton de Tuléar

Photo 4 : Vue rapprochée d’une lésion sur le flanc droit. On note la présence d’un état kérato-séborrhéique sévère avec des squamo-croûtes et de nombreux manchons pilaires.

 

Un cas d'adénite sébacée granulomateuse chez un Coton de Tuléar

Photo 5 : Vue rapprochée de la base des poils. Les poils sont agglutinés par leurs racines par les manchons pilaires (flèches noires) formant des squamo-croûtes (flèche verte).

 

SYNTHESE CLINIQUE

Rooky présente une dermatose chronique, secondairement et devenu fortement prurigineuse, lentement extensive, généralisée au tiers dorsal du corps, de la base du crâne au bout de la queue, incluant les racines des membres, avec une alopécie plus ou moins diffuse, de l’érythème, des manchons pilaires et des squamo-croûtes.

 

HYPOTHESES DIAGNOSTIQUES

 

Hypothèse diagnostique

Arguments en faveur

Arguments en défaveur

Examens complémentaires

DEMODECIE

Alopécie

Aspect des lésions

Erythème

Manchons pilaires

Durée et type d’évolution (cyclique)

(Age)

Raclages cutanés

(+/- cytologie de surface)

ADENITE SEBACEE

Race (nouvellement prédisposée)

Manchons pilaires et squamosis sévère

Localisation dorsale

Alopécie diffuse

Age (mais évolue depuis plusieurs années)

Biopsies cutanées et examen histopathologique

(+/- cytologie de surface)

LEISHAMNIOSE

Etat kérato-séborrhéique et manchons pilaires

Nombreux séjour en zone endémique

Type dévolution

Pas d’atteinte de l’état général

Pas d’adénomégalie

Sérologie

Mise en évidence du parasite (cytologie de moelle osseuse, ganglion, derme)

DERMATOPHYTOSE

Alopécie

Erythème

Etat kérato-séborrhéique avec manchons pilaires

Pas de contagiosité aux propriétaires

Examen en lumière de Wood

Trichogramme

Culture fongique

PYODERMITE BACTERIENNE CHRONIQUE (SECONDAIRE)

Prurit

Erythème

Etat séborrhéique squamo-croûteux

 

Cytologie de surface

 

EXAMENS COMPLEMENTAIRES REALISES

Examen en lumière de Wood

L’examen de l’ensemble du pelage à la lumière de WOOD est réalisé dans une pièce sombre. Il permet d’observer une fluorescence jaune-vert en bâtonnets à la base des poils, émise par des pigments présents chez certains champignons lorsqu’ils sont excités par une lumière UV.

Résultat : aucune fluorescence jaune-vert n’est mise en évidence.

 

Trichogramme

Des poils sont prélevés en périphérie de lésion et observés au microscope entre lame et lamelle dans du lactophénol. Cet examen peut permettre la mise en évidence de spores ou filaments mycéliens.

Résultat : on observe au microscope de nombreux manchons pilaires (photo 6). Aucun élément fongique n’est mis en évidence.

 

Un cas d'adénite sébacée granulomateuse chez un Coton de Tuléar

Photo 6 : examen microscopique de poils dans du lactophénol, G X 40. Manchons pilaires engainant la base des poils (flèche).

 

Compte tenu des résultats du trichogramme et de l’examen en lumière de Wood et des données anamnestiques et cliniques, nous décidons ne pas réaliser la culture fongique ce jour-là et de différer cet examen.

 

Raclages cutanés

Plusieurs raclages sont effectués avec une lame de bistouri érodée sur un pli de peau jusqu’à la rosée sanguine. Ils sont réalisés sur les lésions présentant des squamo-croûtes et des manchons pilaires sur les flancs. Le produit de ces raclages est examiné au microscope dans une goutte de chloral-lactophénol entre lamelle et lamelle.

Résultat : aucun élément figuré n’a été mis en évidence.

 

Scotch tests

Un morceau de ruban adhésif transparent est appliqué sur les lésions à plusieurs reprises. Il est séché à l’air puis coloré avec une coloration rapide RAL 555 ® sans fixation préalable (premier bain de la coloration RAL 555®). Puis le morceau de ruban adhésif est déposé face collante sur une lame dégraissée. L’examen est réalisé au microscope depuis un faible grossissement jusqu’à l’immersion, grossissement 1000.

Résultats : l’examen montre de nombreux cornéocytes et débris cutanés, mais pas d’agent infectieux ni bactérien, ni fongique.

 

Biopsies cutanées pour examen histopathologique

L’examen histopathologique est réalisé sur 3 biopsies effectuées au Biopsy punch® de 6 mm de diamètre sous anesthésie locale à la xylocaïne, 2 en régions lésionnelle et 1 en région saine (plus ventrale).

Résultat : l’examen révèle que les prélèvements sont similaires et présentent une perte quasi complète des glandes sébacées remplacées par du tissus fibreux et de rares macrophages, lymphocytes et plasmocytes. Ces cellules inflammatoires sont retrouvées dans le reste du derme en localisation périvasculaire. L’épiderme présente une hyperplasie diffuse modérée avec hyperkératose orthokératosique lamellaire modérée, affectant également la gaine folliculaire (photos 7 et 8).

 

Un cas d'adénite sébacée granulomateuse chez un Coton de Tuléar

Photo 7 : Examen histopathologique cutanée (coloration H.E., G X 4, source Vetdiagnostics). Hyperkératose épidermique lamellaire, et folliculaire à l’origine de bouchons cornés, manchons de kératine engainant les tiges pilaires émergentes (flèche), associée à une absence de glandes sébacées.

 

Un cas d'adénite sébacée granulomateuse chez un Coton de Tuléar

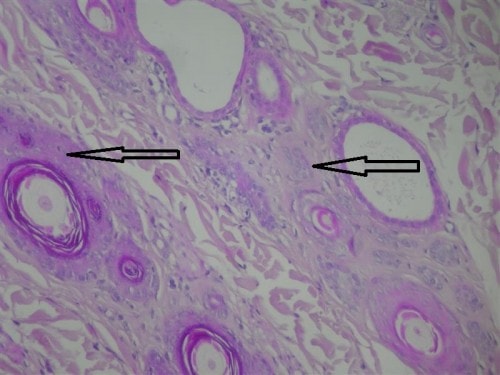
Photo 8 : Examen histopathologique cutanée (coloration H.E., G X 20, source Vetdiagnostics). Infiltrat dermique inflammatoire granulomateux périannexiel et périvasculaire (flèches)

 

L’histopathologiste conclue à une dermatite périvasculaire chronique diffuse modérée avec hyperkératose épidermique et folliculaire marquée et perte des glandes sébacées.

Aucune leishmanie n’est mise en évidence à l’examen histopathologique.

 

Sérologie Leishmaniose

Un prélèvement sanguin est envoyé à un laboratoire vétérinaire IDEXX afin de réaliser un titrage des anticorps anti-leishmanie par un test Elisa.

Résultat : le titrage est négatif.

 

CONCLUSION

Rooky est atteint d’adénite sébacée granulomateuse, sans complication bactérienne secondaire le jour de la consultation.

SI VOUS ETES VETERINAIRE : Pour lire la suite de cet article, veuillez vous enregistrer en haut à droite. Merci

 

 

 

Retour en haut