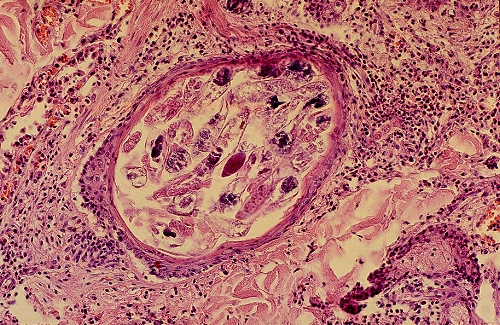
Histologie.
D.canis
vit dans les
follicules pileux
, accessoirement les
glandes sébacées
.